Smile Gallery at Dr. Elston Wong Dentistry
Real clients, real extraordinary results.
This is an assortment of cases done right in our office! Our patients have all consented to have their photos published here for your benefit. To satisfy the very curious and dentally knowledgable, click on a case study below to find details about each case.
Airway
The good airway photo is the mouth of someone who has sleep apnea, breathes through his mouth, and (not seen ...
Bridges
Ultimately, we chose to do two separate bridges out of an all-ceramic material, bonded only to the canines on each ...
Crowns & Onlays
After removal of the existing filling, a new foundation was placed (32% Phosphoric acid etch with Benzalkonium Chloride and AllBond ...
Dentures
This was achieved by the placement of five lower implants to support a titanium bar. This bar was then used ...
Fillings
After educating the patient on the decay risks of this behaviour, oral hygiene instruction and a recommendation for a daily ...
Implants
In this case, a 66-year-old patient with a lower right failing bridge resting on natural teeth needed to be removed ...
Invisalign
While this patient’s teeth were not terribly misaligned overall, she very much disliked the crookedness of her upper front teeth. ...
Microabrasion
Since childhood, this patient had teeth discoloured with brownish and flat white patches that caused embarrassment when smiling. These are ...
Root Canals
Teeth: 25 and 26 25 – 1 canal, symptomatic irreversible pulpitis, normal apical tissues 26 – 4 canals, symptomatic irreversible ...
Sealants
This quick photo series shows the step-by-step process of placing a sealant onto the grooves of an adult molar of ...
Veneers
A root canal was performed on the protruding front tooth as part of the preliminary treatment, as well as home ...
Before and after

Restoration of upper canines
The main issue here was not decay or fracture, it was the appearance of the upper canine teeth (upper eye teeth – third ones from the middle). In the first photo, their horn-like appearance is quite obvious. Instead of shaving away any tooth material, conservatively bonding resin material to the teeth eliminated the undesirable appearance. What’s nice about newer white filling materials is their chameleon-like abilities to pick up colour from the teeth. (H3PO4 (aq) etch, Kerr Optibond FL adhesive only, Dentsply Esthet-X A2 resin. Microabrasion was done later to address the upper incisor dysmineralization)

Microabrasion
Microabrasion is a great, non-invasive way to remove congenital superficial brown and white spots on teeth. This underutilized technique employs a gentle abrasive slurry that removes discolourations without compromising tooth strength. When used appropriately, immediate results can often be better than fillings or veneers.
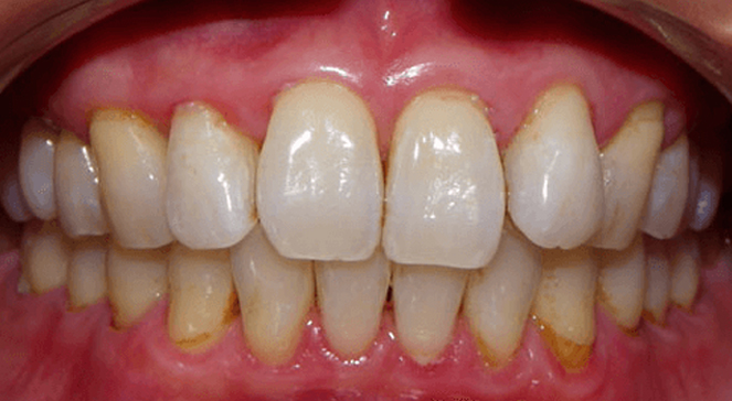
The patient disliked the white patches on their front teeth. A single session of Microabrasion resulted in immediate improvement, with further improvement anticipated over time. (Ultradent Opalustre 6.6% HCl Microabrasion slurry).

Whitening
This is Dr. Wong’s own mouth! Pre and post-whitening photos using KoR-Night Whitening gel in custom trays for two weeks. (KoR-Night 16% carbamide peroxide gel from Evolve Dental Technologies). Dr. Wong’s teeth went from a C1 to a B1 – a change of 5 shades brighter. (Vitapan Classical shade guide, arranged in order of value, or brightness).

Veneers and Crowns
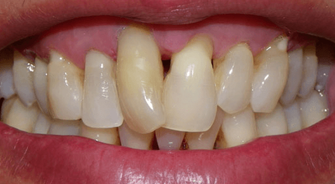
This is a longstanding patient who had come faithfully for her hygiene appointments and was cavity-free, but finally admitted that she wanted to do something about her teeth. She disliked the mismatched colours of her teeth, as well as the upper tooth crookedness and unevenness. If you look closely, one of her upper front teeth was already a crown, but in order to redo her smile it was necessary to replace it with one that would match the other teeth that would be done.
Seven crowns (on teeth 14,12,11,21,22,24,25) and two veneers (on teeth 13,23), all e.max lithium disilicate from Ivoclar Vivadent. Teeth were air abraded and acid etched using Bisco’s Uni-etch 32% H3PO4 (aq) with BAC. Crowns were cemented with Unicem2 (3M) and veneers were bonded in with Calibra Adhesive Resin cement as per recommended protocol. Lab work courtesy of Image Dental Laboratory.

Veneers and Crowns
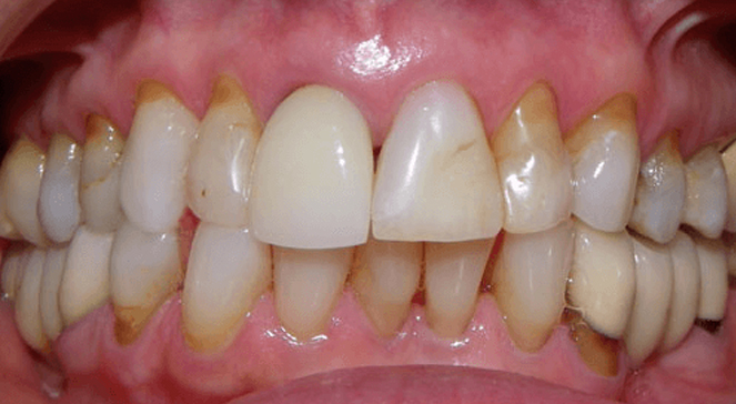
This patient was also a long-time patient of our office, coming regularly for years but always hating the very rotated upper right front tooth, and general unevenness of upper and lower front teeth. We decided to place two crowns and six veneers on the upper front teeth, as well as one crown and two veneers on the lower front teeth. Given the extreme rotation of the upper front tooth as well as the patient’s refusal of any orthodontic straightening, we first had to complete a root canal on that tooth. All restorations e.max lithium disilicate from Ivoclar Vivadent. Crowns on teeth 11,21,32 and veneers on teeth 15,14,13,12, 22, 23, 31, 41.
Teeth were air abraded, acid etched using Bisco’s Uni-etch 32% H3PO4 (aq) with BAC, and finally bonded in with Calibra Adhesive Resin cement as per recommended protocol. Lab work courtesy of Image Dental Laboratory in Barrie.
