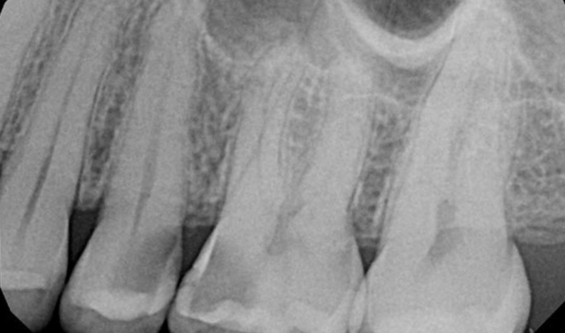
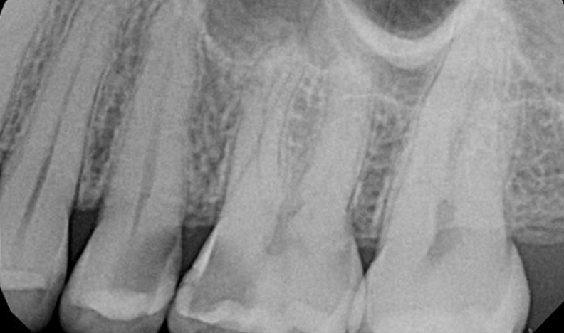
Teeth: 25 and 26
25 – 1 canal, symptomatic irreversible pulpitis, normal apical tissues
26 – 4 canals, symptomatic irreversible pulpitis, normal apical tissues
Condition of teeth on access: hyperemic
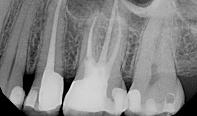
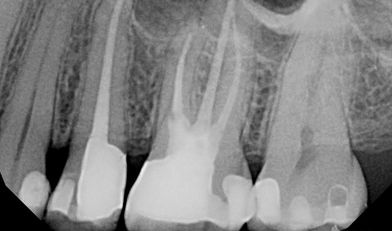
Final canal instrumentation:
25: WL = 24mm instrumented to 35/0.04
26: MB1: 19mm to 35/0.04 MB2: 19mm to 35/0.04 DB: 19mm to 35/0.04 P: 22mm to #40 SS file
Both teeth irrigated with NaOCl(aq) and 17% EDTA (aq) with Piezoelectric ultrasonic activation, obturated with gutta percha and Kerr RCS via System B downpack and Obtura backfill. Final fillings were completed with Air abrasion/phosphoric acid etch/Kerr Optibond FL/Ultradent Permaflo Purple on orifices/Dentsply Esthet-X flowable A1/Esthet-X A3. Treatment complete under Global Surgical Operating Microscope.


