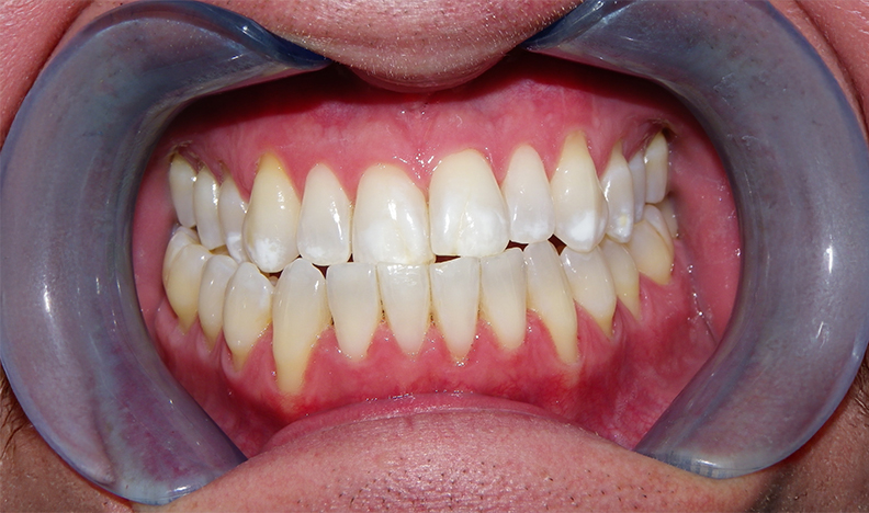
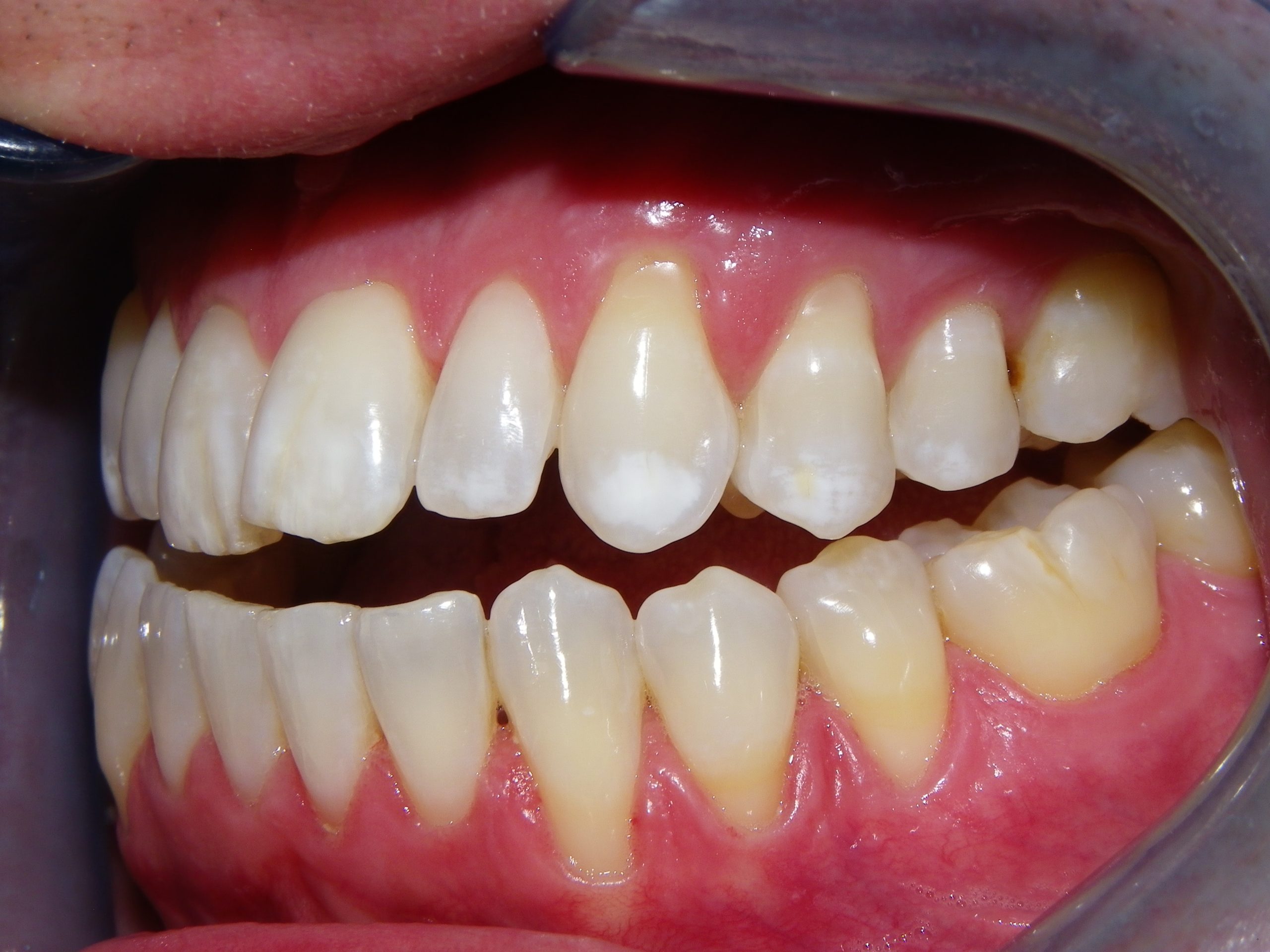
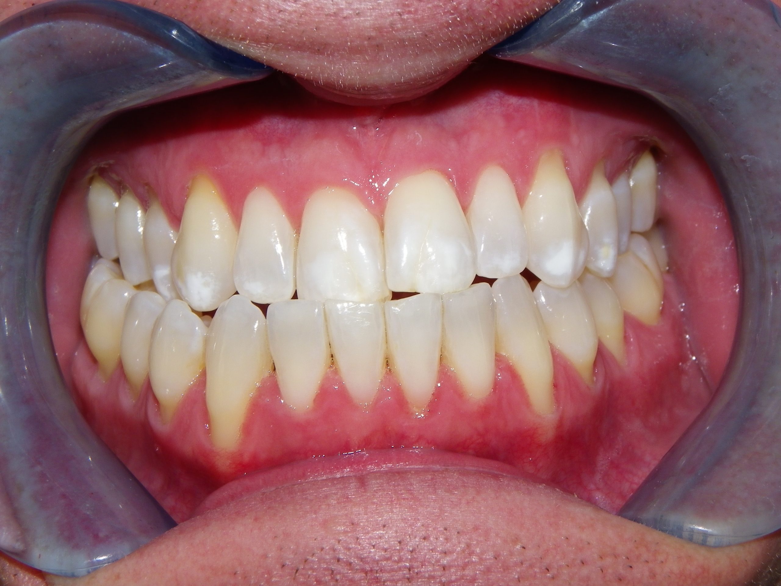
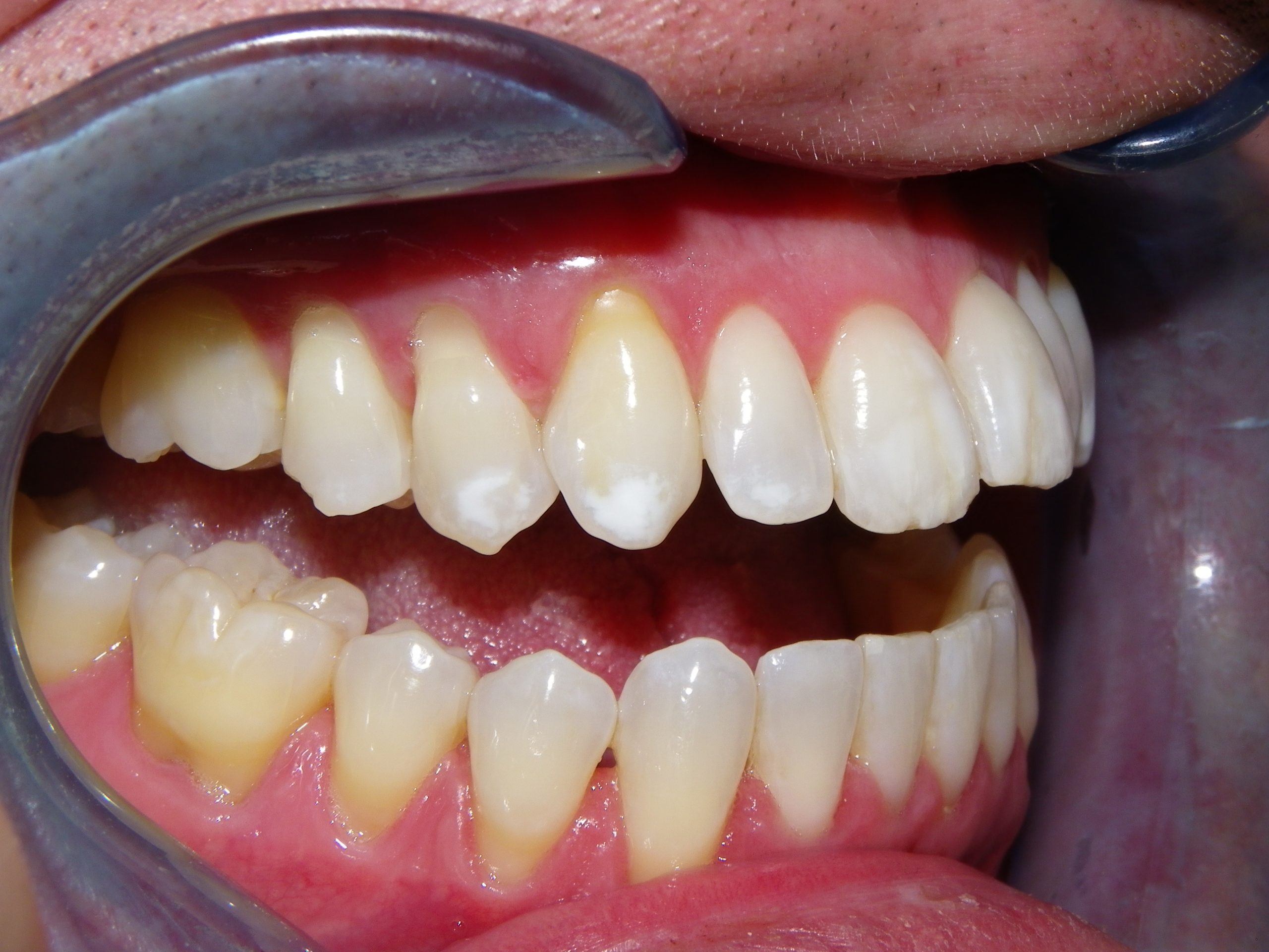
Since childhood, this patient had teeth discoloured with brownish and flat white patches that caused embarrassment when smiling. These are not defects that can whiten, but can be responsive to microabrasion and resin infiltration. In one appointment of approximately 1.5h and no local anesthetic, Opalustre by Ultradent (microabrasion) and ICON by DMG America (resin infiltration) was used to remove the brown and white spots and restore the natural translucency of the enamel.






