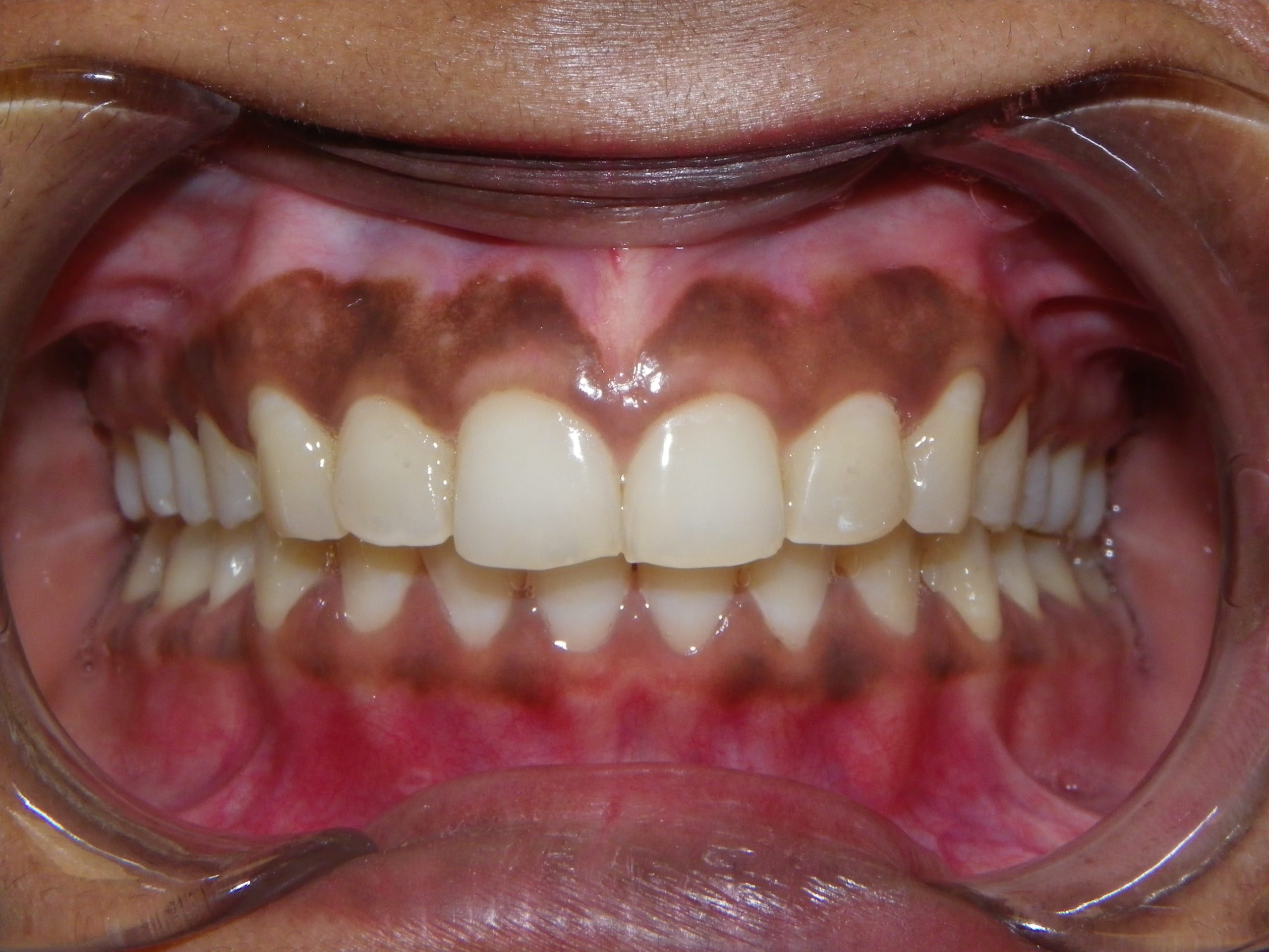
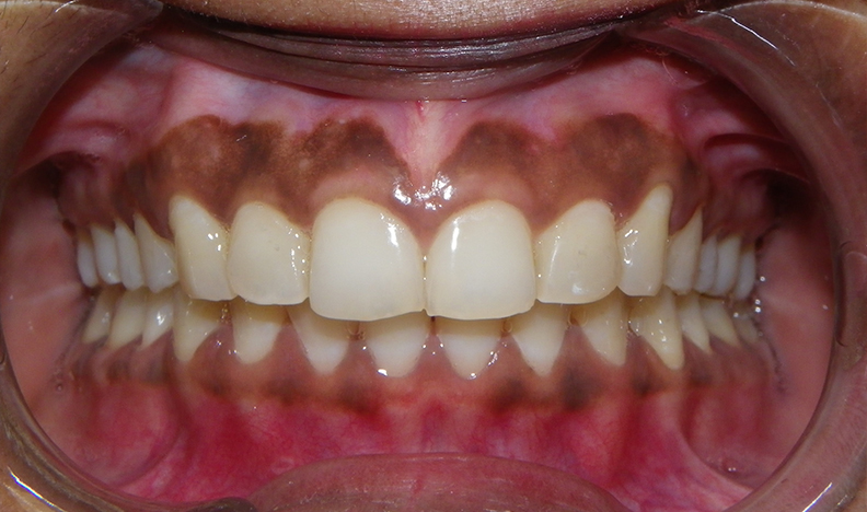
While this patient’s teeth were not terribly misaligned overall, she very much disliked the crookedness of her upper front teeth. A simple sequence of clear aligners from Invisalign over seven months was enough to give her the straightening she was seeking, and afterwards she was given clear retainers for nighttime wear to keep the teeth in their final positions. Oftentimes what seems to be minor misalignment of teeth to some is very bothersome to others, and we won’t judge what people’s personal aesthetic desires are. Our job is to give people the teeth that they need in order to be confident with their smiles.






