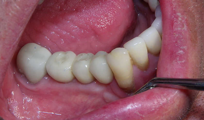
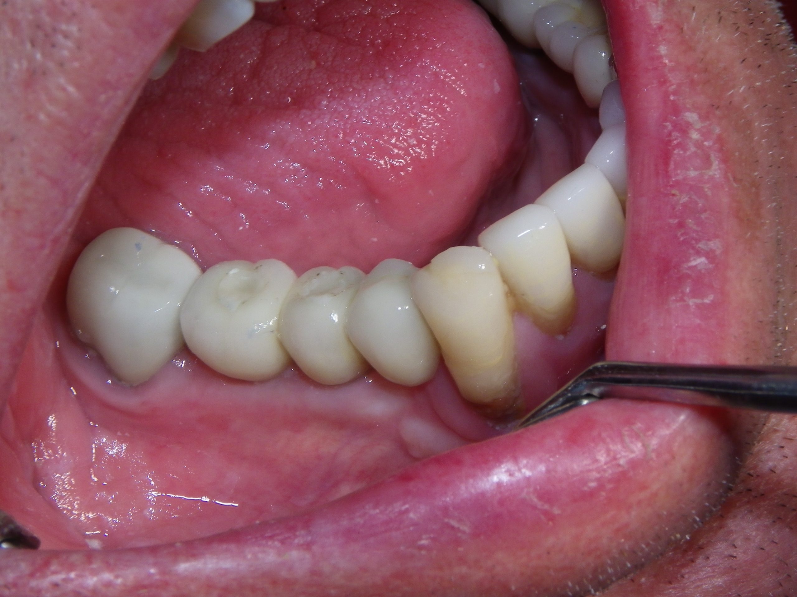
In this case, a 66-year-old patient with a lower right failing bridge resting on natural teeth needed to be removed due to nonrestorable decay of the supporting teeth. In order to replace the resulting three missing teeth, two implants were placed and a screw-retained zirconia bridge was used with a cantilever prosthetic tooth in the most forward position. The more common position of the supporting implants would have been at either end of the span of missing teeth, but due to inadequate bone volume in the forward space, an alternate distribution of implants was chosen. He can now chew comfortably on the right side again!
(Implants: Straumann 4.1 x 8mm BLT SLActive, placed by Dr. Michael Coyne of Mapleview Periodontics, Lab work by Divine Dental Studio of Toronto.



