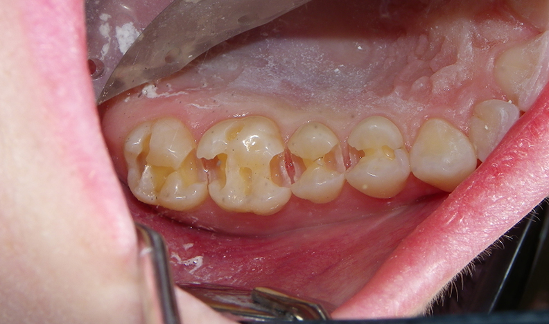
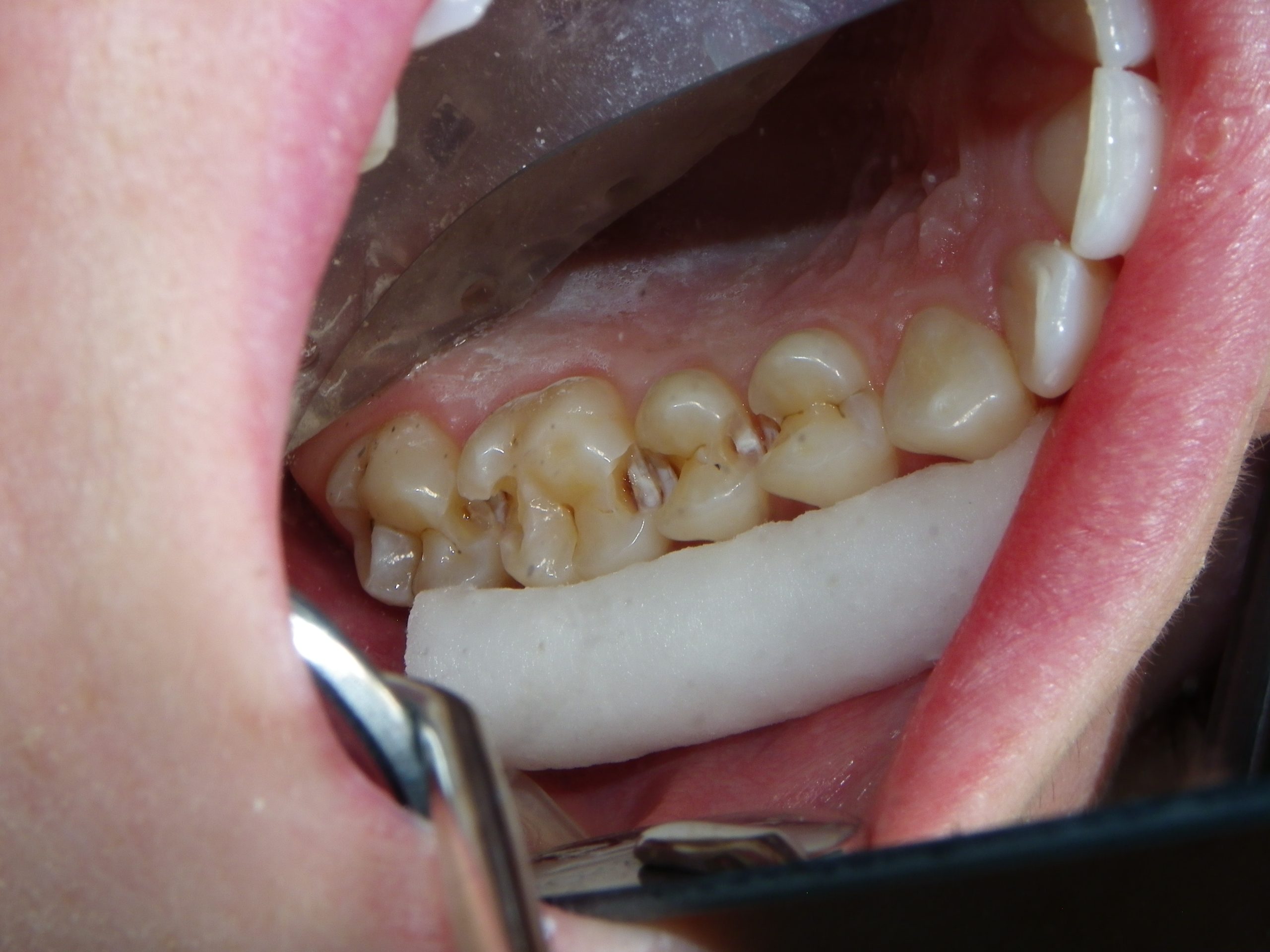
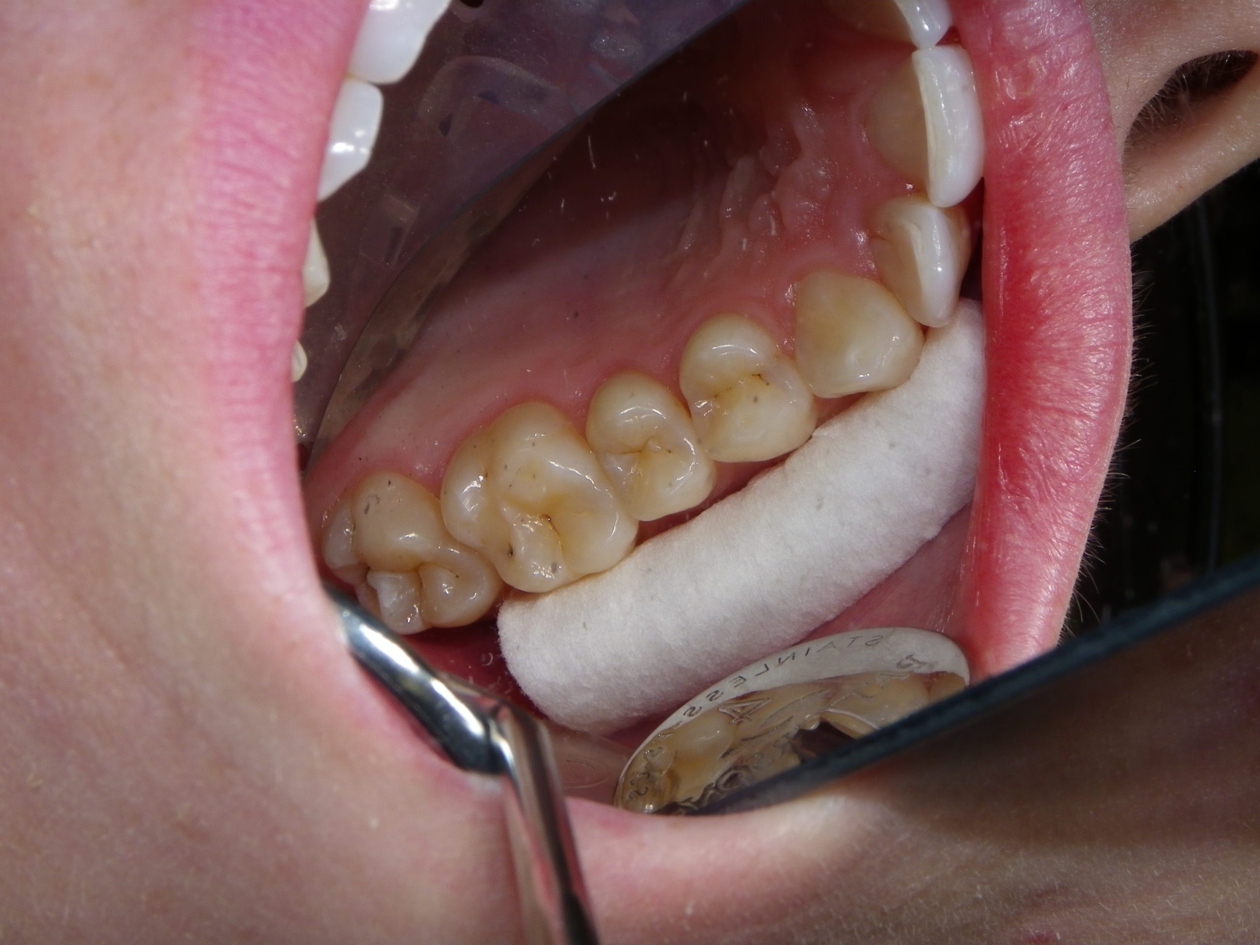
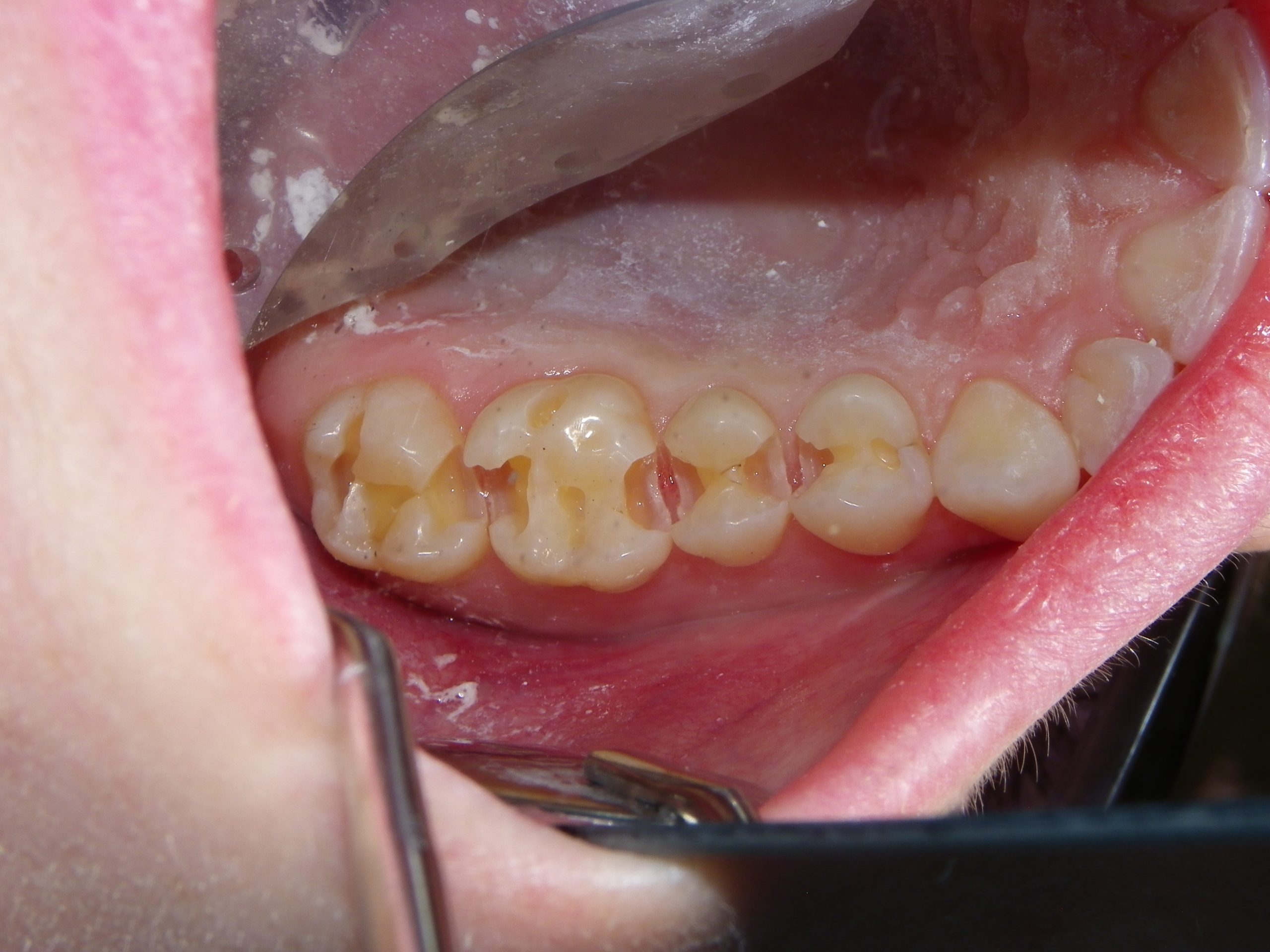
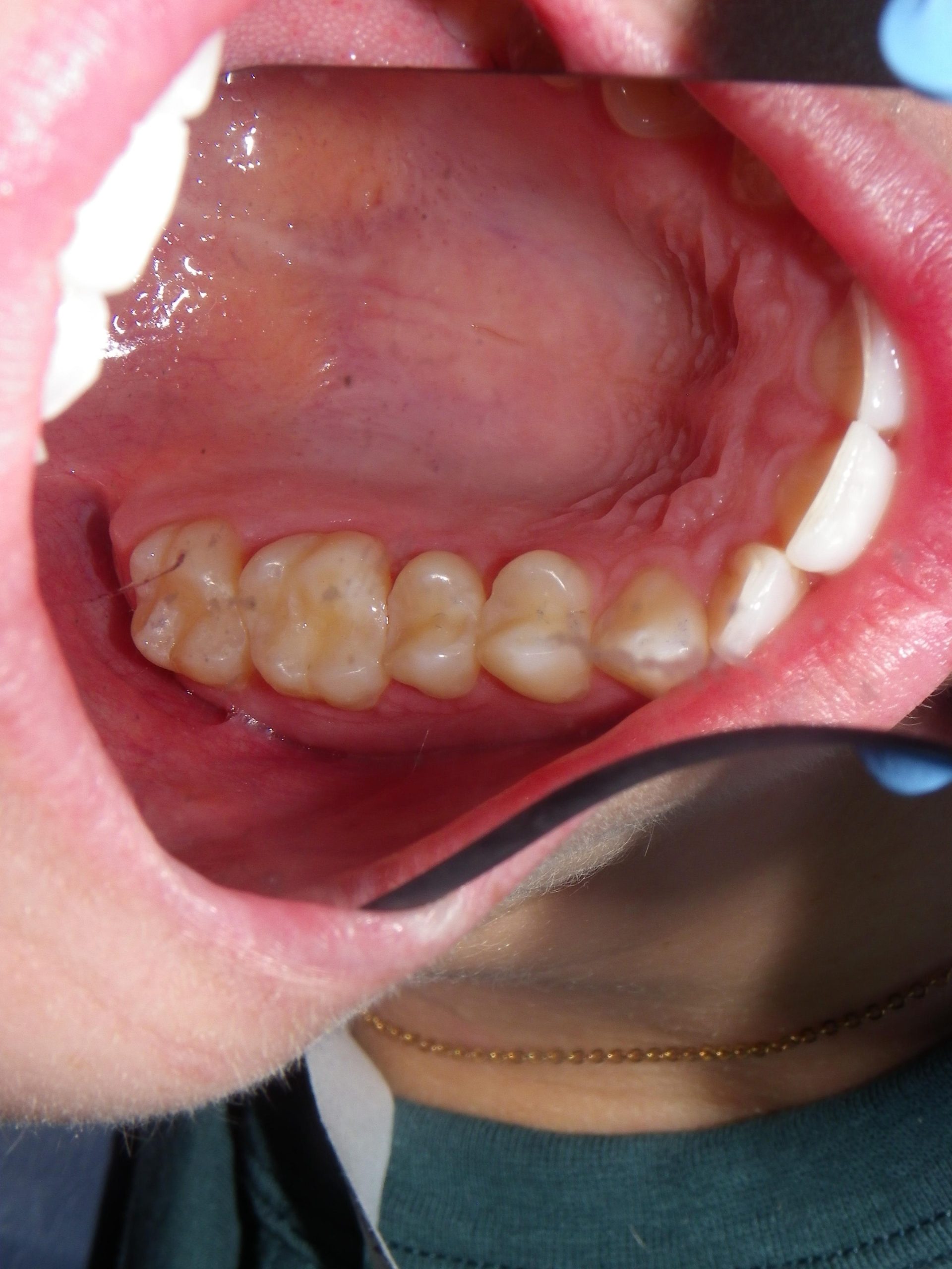
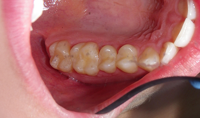
After educating the patient on the decay risks of this behaviour, oral hygiene instruction and a recommendation for a daily fluoride rinse, she can now take action to prevent any new cavities from developing for the rest of her life. There were many areas of decay between other teeth that we elected not to fill due to their small size, and hopefully they remain arrested / remineralized! (Aluminum oxide Air abrasion via PrepStart, 32% Phosphoric acid etch with Benzalkonium Chloride and AllBond Universal adhesive from Curion, Esthet-X Flowable A2 liner from Dentsply, Simplishade Medium resin core from Kerr).




