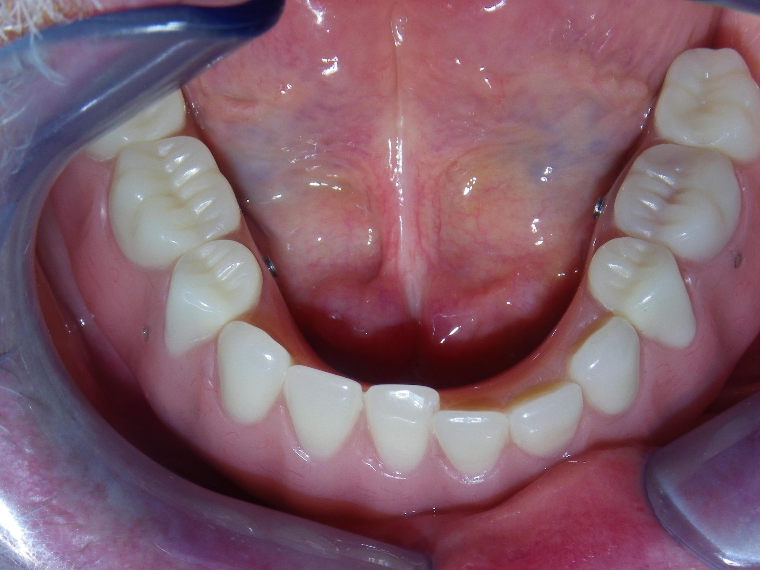
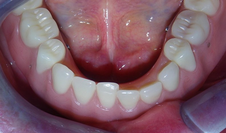
This was achieved by the placement of five lower implants to support a titanium bar. This bar was then used to support a denture that had a corresponding metal housing and locking pins that engage the bar. The advantage? A rigid lower arch that can provide a solid chewing experience while at the same time being easily cleansable by opening the locking pins and removing the denture. This denture does not come out until the patient removes it himself! (Implants: NobelActive TiUltra 4.3 x 11.5mm in the four posterior sites, NobelActive NP 3.5 x 11.5mm in the middle site, placed by Dr. A Gater of Huronia Oral and Maxillofacial Surgery of Barrie https://maxillocare.com/ , Titanium REBourke bar from Panthera Dental of Quebec City https://pantheradental.com/ , lab work by Image Dental Laboratories of Barrie https://www.imagedentallaboratory.com/ )






