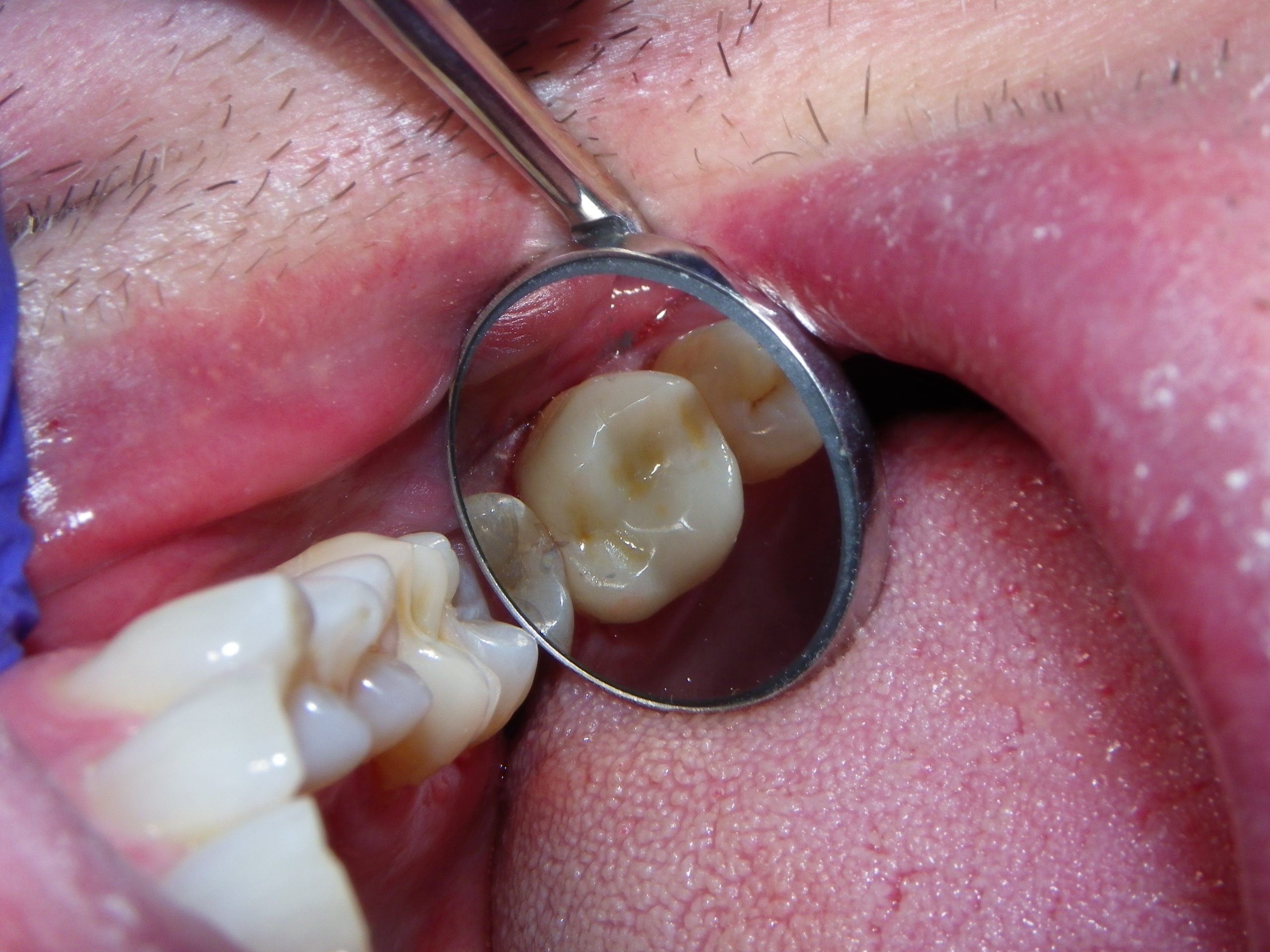
After removal of the existing filling, a new foundation was placed (32% Phosphoric acid etch with Benzalkonium Chloride and AllBond Universal adhesive from Curion, Esthet-X Flowable A1 resin base from Dentsply, Simplishade Medium resin core from Kerr) and ultimately an IPS e.max all-ceramic crown was placed using air abrasion and selective enamel etch adhesive technique (e.max and Variolink Esthetic DC resin cement from Ivoclar, Silane from Kerr, lab work from Divine Dental Studio of Toronto). By wrapping the tooth in a more durable material and a strong cement, the tooth is now more protected from the splitting forces that caused the initial fracturing.




