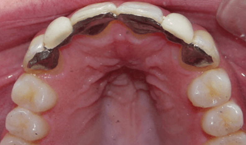
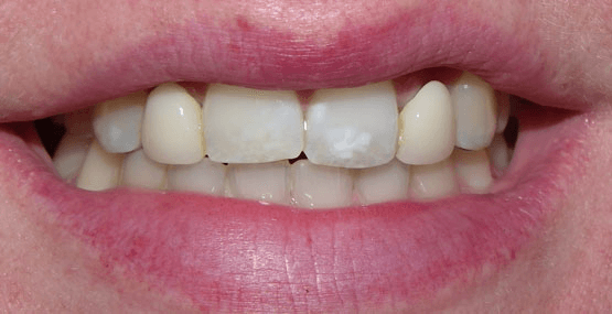
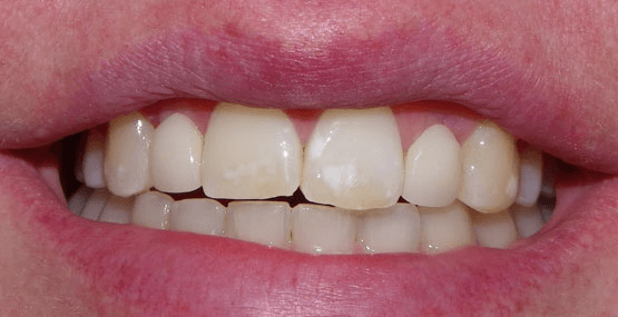
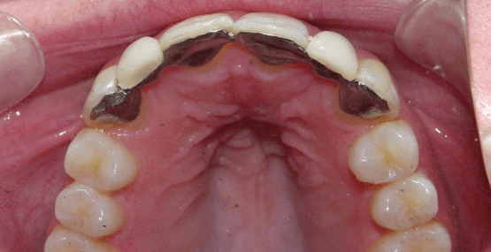
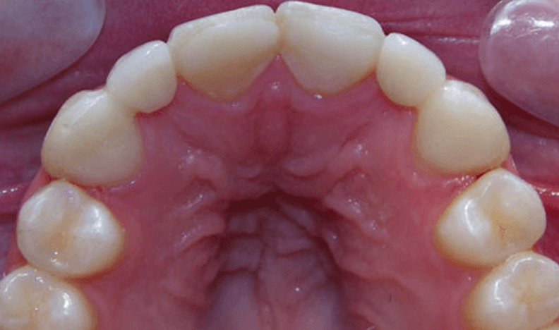
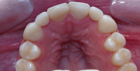
Ultimately, we chose to do two separate bridges out of an all-ceramic material, bonded only to the canines on each side. E.max lithium disilicate bridges from Ivoclar Vivadent 13-X and X-23, cemented by first air abrading the teeth, acid etching with Bisco’s Uni-etch 32% H3PO4 (aq) with BAC, and finally bonding in with Calibra Adhesive Resin cement as per recommended protocol. The results showcase a much more natural smile that’s both brighter and more resilient.




