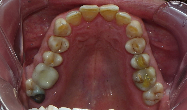
The good airway photo is the mouth of someone who has sleep apnea, breathes through his mouth, and (not seen here) has tongue tension that prevents the tongue from easily resting against the roof of the mouth. You can see that the arch is Omega-shaped with crowding of teeth. Even with orthodontic treatment to straighten the teeth, a cheek/tongue/lip environment like this would likely lead to rapid relapse and a return to pre-orthodontic crookedness.
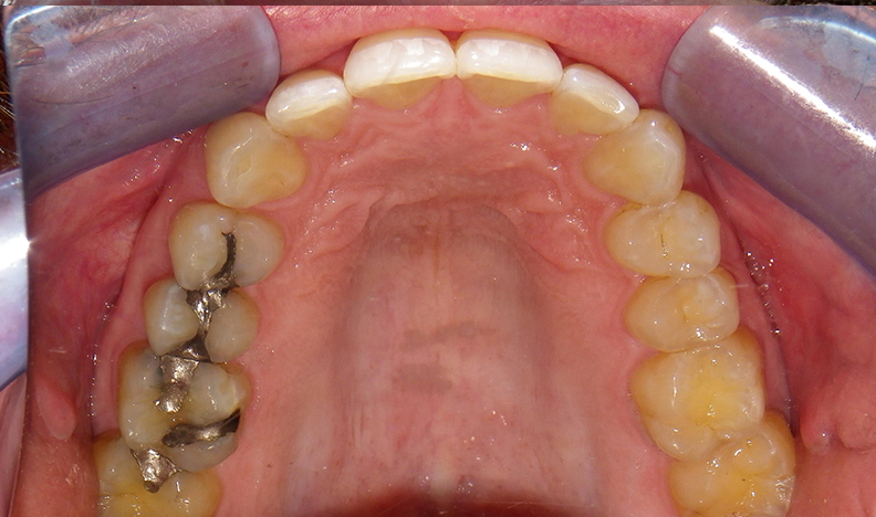
In contrast, the bad airway photo is the mouth of a patient who has no airway problems, breathes through the nose and rests his tongue against the roof of his mouth. This arch is a broad U-shape with well-aligned teeth.
Among other things, these are some of the signs that we look at when examining your teeth – we are not just a tooth-and-gum operation, our goal is to optimize your health in any way we can.


