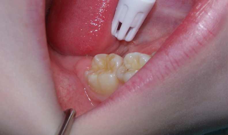
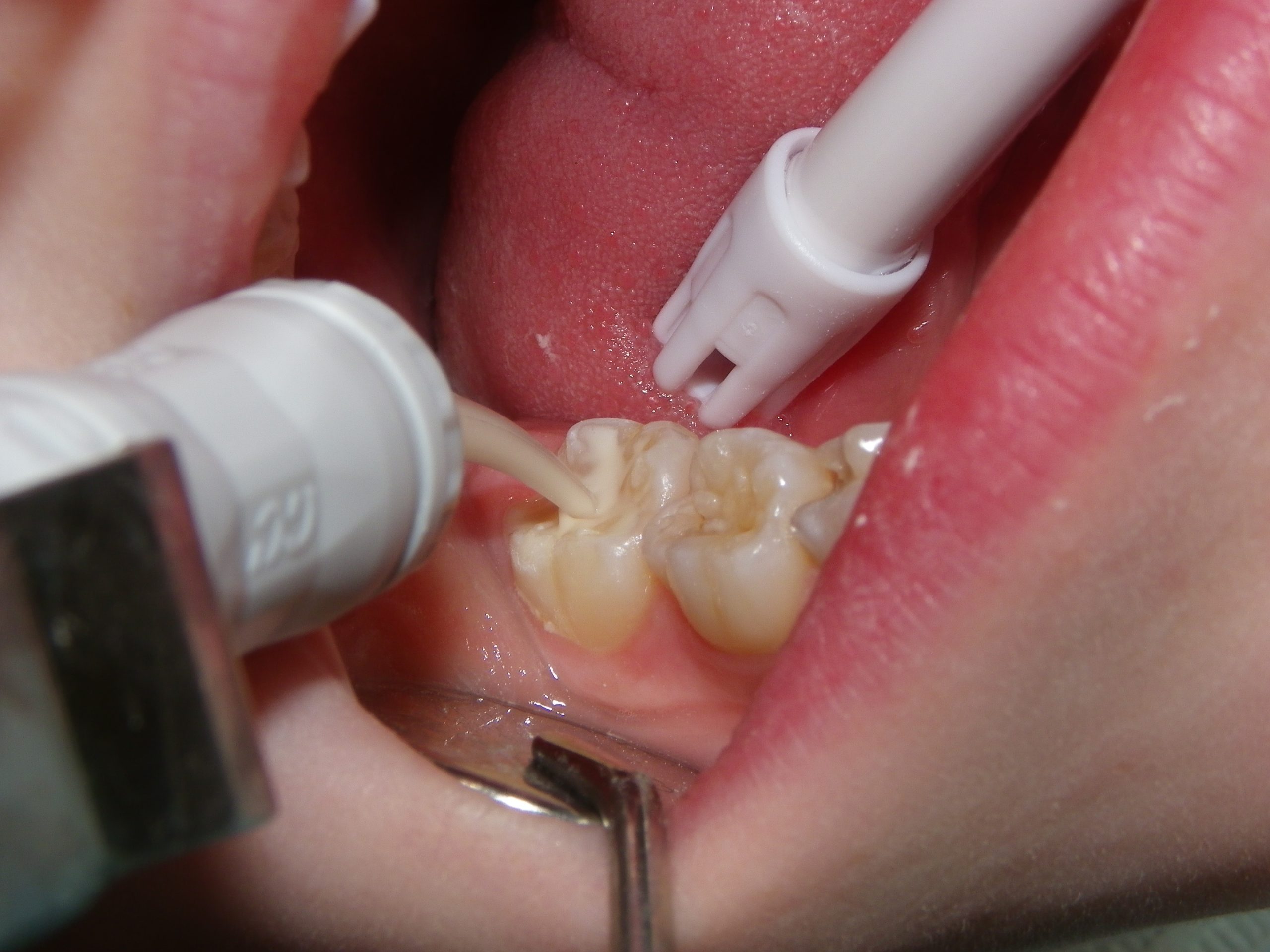
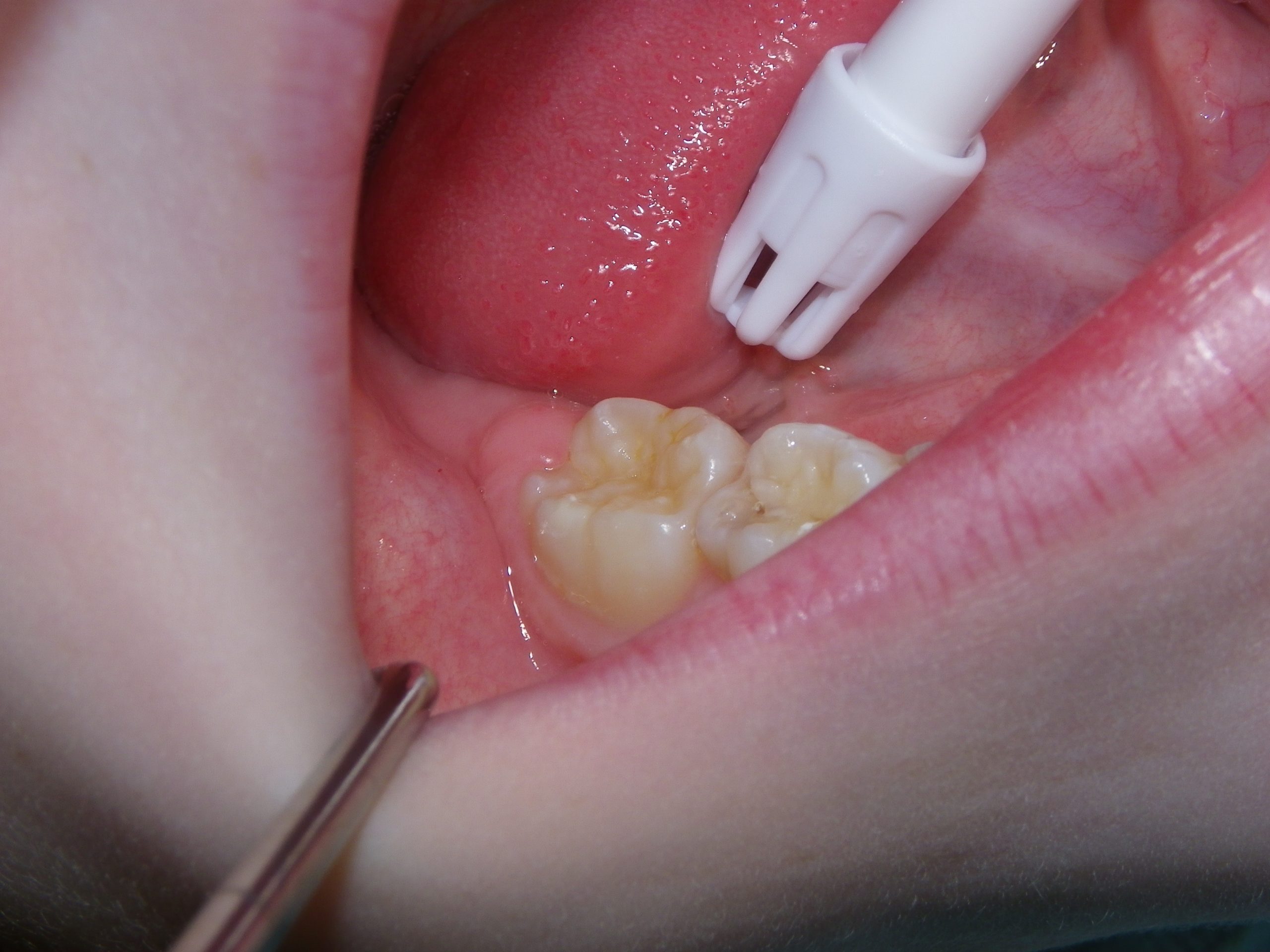
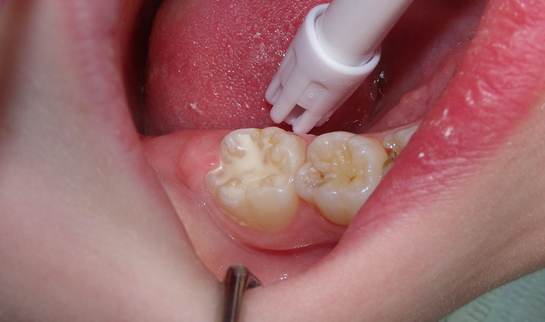
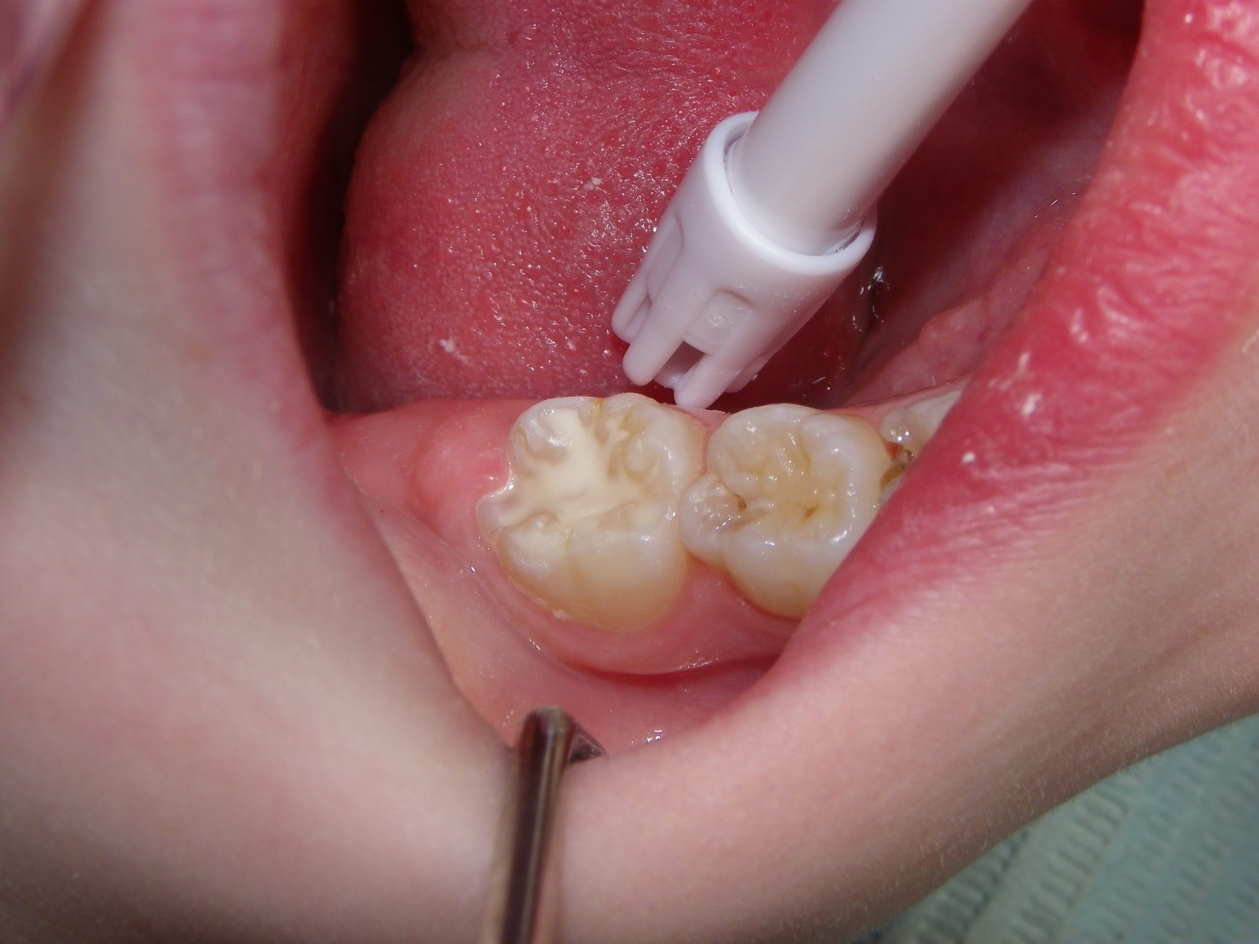
This quick photo series shows the step-by-step process of placing a sealant onto the grooves of an adult molar of a six-year-old. First, air abrasion is used to mechanically remove any loose surface debris or contaminants. Secondly, an acid gel is applied to the surface to be sealed. Finally, a sealant is applied to the surface and allowed to set. For the sharp-eyed, the sealant used was GC Fuji Triage, a glass ionomer sealant that while not as wear-resistant as the more commonly used resin sealants, is more moisture-friendly (ie: contamination resistant) and releases fluoride. The fluoride release allows the underlying enamel to be strengthened over time, making it more decay-resistant for the future.





