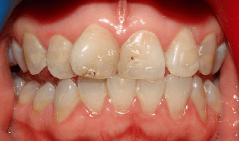
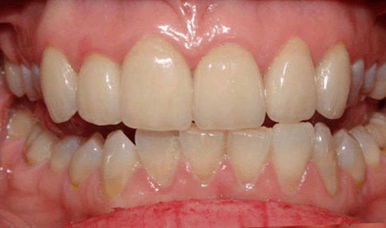
A root canal was performed on the protruding front tooth as part of the preliminary treatment, as well as home whitening. (Ivoclar e.max porcelain veneers and crown, H3PO4 (aq) etch, 3M Adper Single bond plus adhesive, 3M RelyX Veneer cement. Home whitening done with SDI pola night, and for those who really care, endo was done using microscope to a MAF of 60/0.04. SybronEndo K3 files followed by warm vertical gutta percha obturation. Patient asymptomatic before restorations were done.)


